L - V 8 a.m - 6 p.m. / S 9 a.m - 2 p.m.
(+57) 301 524-5960
Calle 23 # 7 - 75 / Montería / Colombia
Ir al contenido

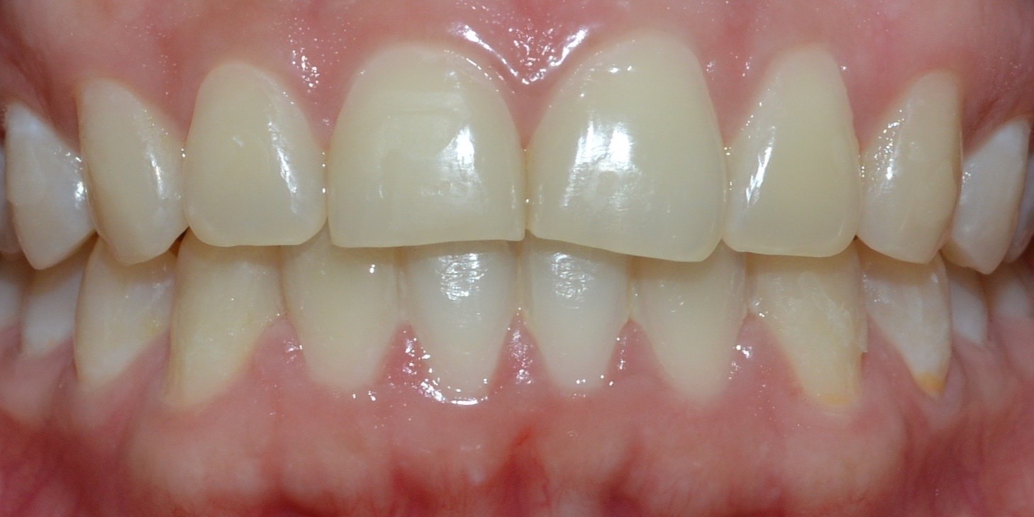
Diseño de sonrisa

¡Es el momento para tener la sonrisa que siempre has deseado!

El diseño de sonrisa es la sumatoria de varios procedimientos para lograr un resultado equilibrado y armonioso, buscando la simetría y el balance estético entre tu rostro y tu sonrisa, resaltando tu belleza y recuperando tu autoestima. 

Preguntas frecuentes




  • Carillas directas en resinas
Se confeccionan en una sola sesión por el odontólogo, por lo que son rápidas y económicas. No es necesario desgastar tus dientes, es decir, se mantienen intactos. No obstante, a mediano plazo pueden perder brillo, cambiar de color o fracturarse. Por eso, suelen necesitar un retoque entre los 5 y 8 años, además de mantenimientos periódicos cada 3 meses.
  • Carillas indirectas o lentes cerámicos. 
Las carillas dentales en cerámica o lentes cerámicos, son una opción más duradera que las carillas de resina, ya que no cambian de color, no pierden brillo ni se desgastan. Sin embargo, al ser fabricadas por un técnico de laboratorio, su costo es mayor que el de las carillas de resina y por lo general se debe hacer un pequeño desgaste a los dientes. Además, necesitan mantenimientos periódicos cada 3 meses.


  • Mejora la estética de la sonrisa
  • Te brinda seguridad al sonreír ayudándote a recuperar la autoestima
  • Resultados personalizados.
  • Mejora la funcionalidad.
  • Proceso eficiente y rápido.
  • Durabilidad a largo plazo.

El diseño de sonrisa es un conjunto de procedimientos que buscan optimizar la estética de tu boca. Cada tratamiento es personalizado y se adapta a tus necesidades y expectativas. Por lo general, estos procedimientos no son invasivos y, por tanto, no causan dolor.


El diseño de sonrisa consiste en un conjunto de procedimientos orientados a optimizar la estética de tu boca. Cada tratamiento es personalizado y se adapta a tus necesidades y expectativas. Por lo general, estos procedimientos no son invasivos y, por tanto, no generan dolor.


Qué dicen nuestros pacientes



Dayana Atencia

Diseño de sonrisa


Arturo

Diseño de sonrisa


  Paula Navarro

 Diseño de sonrisa e Ortodoncia


  July Pérez 

 Diseño de sonrisa


  Lina Lopéz 

 Diseño de sonrisa


  Ana Sophia

 Diseño de sonrisa


Qué dicen nuestros pacientes



Arturo

Diseño de sonrisa


Dayana Atencia

Diseño de sonrisa


Paula Navarro 

Diseño de sonrisa e ortodoncia 



Ana Sophia

Diseño de sonrisa


July Pérez

Diseño de sonrisa


Lina Lopéz 

Diseño de sonrisa


Sección de Bienvenida

¿Quieres resaltar la belleza de tu sonrisa o rostro?

Hazlo con nosotros y atendemos tu cita.

Agendar una cita
Se debe especificar una dirección para poder insertar un mapa

Contacto


Cel. (+57) 301 524-5960
PBX. (+57) 604 788-9869
Calle 23 # 7 - 75 / Montería / Colombia

Legales

Política de privacidad
Política de cookies
Política de tratamiento de datos

Síguenos 

Redes sociales