L - V 8 a.m - 6 p.m. / S 9 a.m - 2 p.m.
(+57) 301 524-5960
Calle 23 # 7 - 75 / Montería / Colombia
Ir al contenido

Ortodoncia

¡Tenemos la solución que cambiará tu vida!

 La ortodoncia es el primer paso para tu diseño de sonrisa.

Ya sea con brackets u ortodoncia invisible, podrás tener la sonrisa que siempre has deseado y a la vez también podrás resolver los problemas de mordida con un solo  procedimiento, mejorando tu calidad de vida.

Alineadores invisibles:

Es un sistema innovador que utiliza unos alineadores removibles altamente estéticos, hechos a la medida del paciente para llevar los dientes a la posición planificada, de manera discreta logrando una sonrisa armoniosa, sin brackets ni arcos.
Alinea tus dientes sin molestias ni restricciones en tu estilo de vida.

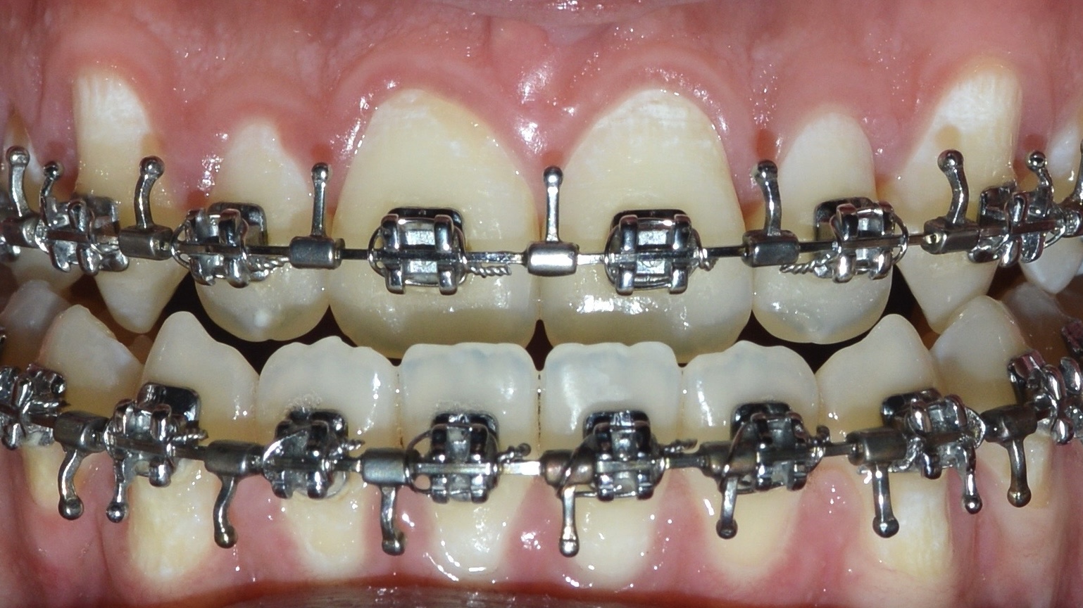
¿Qué son los brackets y para qué sirven?
Los brackets son los dispositivos que se ubican sobre los dientes y son los que hacen que se corrijan problemas de posición de los mismos. Al hacer estas correcciones podrás tener una sonrisa más armoniosa y una mordida que funcione bien. Nuestros tratamientos de ortodoncia están diseñados para brindarte resultados precisos y duraderos.


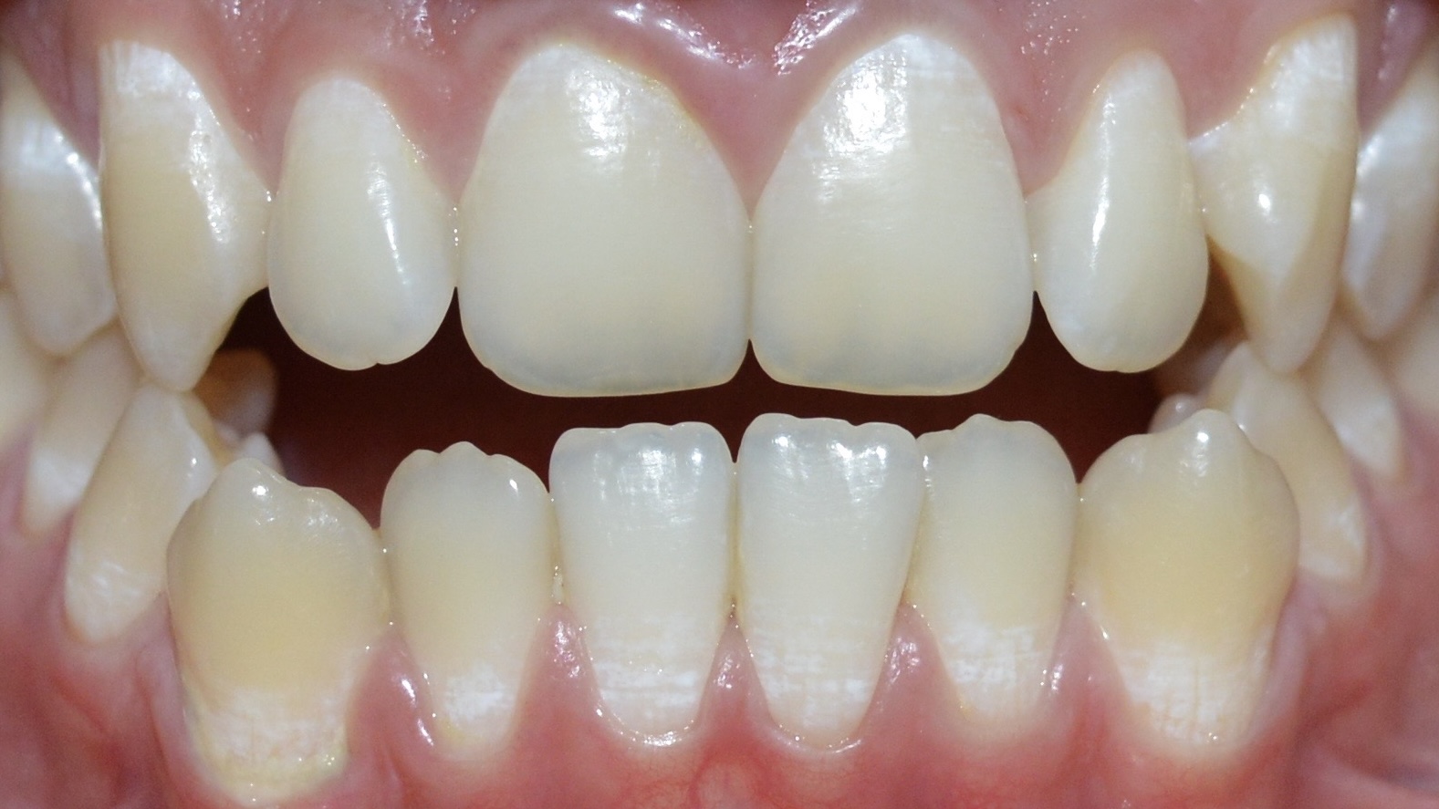
Antes Después
Sin equilibrio
En proceso
Ortodoncia convencional (metálica y estética)
 
Sistemas tradicionales de brackets con mayor evidencia científica a lo largo de la historia, se convierte en la alternativa de tratamiento más económica y accesible para nuestros pacientes. Dentro de estos encontramos brackets metálicos y brackets estéticos, para ejercer su función se requiere: alambre y elástides (cauchitos de colores) que se deben ir cambiando cada cierto tiempo.

Ortodoncia Autoligado (metálica y estética)

Sistema de brackets con una tecnología más avanzada que la de los convencionales. No utiliza elástides (cauchitos de colores) para fijar el arco. Sus bordes son redondeados, lo que genera mayor confort y evita la acumulación de placa bacteriana. Dentro de esta categoría se encuentran brackets metálicos y estéticos.

Antes Después
Sin equilibrio
En proceso

Ortodoncia quirúrgica

Se ocupa de corregir la posición de los dientes de acuerdo a su base ósea (mandíbula y maxilar), previo a la cirugía ortognática (cirugía que ubica los hueso de la cara o maxilares en la posición ideal) así como también luego del proceso quirúrgico se encarga de establecer la mordida final del paciente.

Preguntas frecuentes




La colocación de los brackets no genera dolor, ya que no es un procedimiento invasivo. Sin embargo, después de unas horas, podrías experimentar una sensación de presión en los dientes o cierta incomodidad en la boca (a nivel interno), la cual puede aliviarse con un analgésico.
  • Experiencia y Profesionalismo
     Nuestra ortodoncista está certificada y comprometida en brindarte la mejor atención, con resultados sobresalientes. Somos una clínica dental con más de 10 años de experiencia creando sonrisas que cambian vidas.
  • Variedad de opciones
     Ofrecemos una amplia gama de tratamientos de ortodoncia, adaptados a tus necesidades y preferencias.
  • Tecnología de Vanguardia
    Utilizamos tecnología de punta y materiales de alta calidad para garantizar el éxito de tu tratamiento.


  • No, no existe una edad específica. Sin embargo, debemos tener en cuenta que en los niños el tratamiento suele ser más eficaz que en otras etapas de la vida. Además, durante la ortodoncia infantil es posible corregir ciertos hábitos, como chuparse el dedo, la succión del labio o la interposición lingual, los cuales podrían causar problemas mayores en el futuro si no se tratan a tiempo. A esto se le conoce como ortopedia funcional. 
  • En adultos, la ortodoncia está 100 % indicada. No obstante, pueden existir ciertas limitaciones relacionadas con la edad y la salud periodontal, lo que podría hacer que los movimientos dentales sean un poco más lentos.
La duración depende de varios factores, como la edad del paciente, el grado de complejidad del caso y el nivel de compromiso con el tratamiento (asistir a los controles, cuidar los brackets y seguir las indicaciones).
Sin embargo, en promedio, un tratamiento de ortodoncia puede durar entre 12 y 24 meses.

Las malposiciones dentales dificultan la higiene oral, lo que aumenta el riesgo de desarrollar enfermedades periodontales.
Además, una mordida irregular puede generar tensiones musculares, dolores de cabeza y molestias en la mandíbula, el cuello, los hombros e incluso la espalda.
La ortodoncia no solo mejora la estética dental, sino que también corrige problemas funcionales, contribuyendo a una mejor calidad de vida.

Qué dicen nuestros pacientes



Dr. Diego Kerguelen

Ortodoncia


  Katerin Reyes

Ortodoncia


  Gloria Ramos

 Ortodoncia



Luisa 

Ortodoncia


  Valentina Zambrano

Ortodoncia


  Gloria Ramos

Diseño de sonrisa e Ortodoncia


Juntos elegimos el tratamiento de ortodoncia 
que más se ajuste a tu sonrisa. 

Qué dicen nuestros pacientes



Dr. Diego Kerguelen​ 

Ortodoncia

Katerin Reyes 

Ortodoncia


  Gloria Ramos

Ortodoncia 



Luisa 

Ortodoncia


Valentina Zambrano 

Ortodoncia


  Paula Navarro 

Diseño de sonrisa e Ortodoncia 


Lo que opinan nuestros pacientes

Sección de Bienvenida

¿Quieres resaltar la belleza de tu sonrisa o rostro?

Hazlo con nosotros y atendemos tu cita.

Agendar una cita


Se debe especificar una dirección para poder insertar un mapa

Contacto


Cel. (+57) 301 524-5960
PBX. (+57) 604 788-9869
Calle 23 # 7 - 75 / Montería / Colombia

Legales

Política de privacidad
Política de cookies
Política de tratamiento de datos

Síguenos 


Redes sociales